Додадете Алајнери во Вашата Ординација

Заработете од 200-3000 Евра по Пациент

Дента ви го олеснува секој чекор!

Како Функционира?

Скенирајте ги вашите пациенти, испраќајте ги скеновите до нашите ортодонти, а ние ќе произведеме персонализирани алајнери за вашите пациенти!

Добивате 3D Интраорален

Скенер на 50% Попуст!

Регуларна Цена € 6.000

Цена со Попуст  € 2.999

Висока прецизност и зголемена длабочинска острина на Aidite Rapid 3 му овозможуваат прецизно интраорално собирање на податоци кај имплантолошки случаи со голем недостаток на заби.

Исто така, ги покрива имплантолошките случаи со подвижни протези и долги мостови, со што се скратува времето на посета на пациентите и се подобрува нивното искуство.

*За да го искористите попустот, потребно е да испратите 24 случаи во рок од две години, односно по 12 случаи годишно.

Цени За Алајнери

Продажната цена во Македонија од доктор до пациент се движи од 60-80 евра по алајнер!

Со нас до сигурен профит за вашата ординација!

S-Пакет: 200 евра профит

M-Пакет: 900 евра профит

XL-Пакет: 1500-3000 евра профит

 

*калкулација базирана по најниската пазарна цена на алајнер

Обврски На Ординацијата кон Дента

Интраорално скенирање на вилиците

Препорачливо е да се достави и ортопан снимка или панорама

3 фотографии (пример во прилог подолу)

Коментар доколку докторот или пациентот имаат посебни барања во врска со поместување на забите или фазите на изработка на алајнери

Уплата од 50 евра за анализа (доколку пациентот ја прифати изработката на фолиите, овој износ се смета како аванс во рамките на горенаведените цени за алајнери)

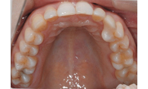
Пример Како Фотографиите на Пациентот треба да Изгледаат

Обврски на Дента кон Ординацијата

1. По приемот на информациите за случајот, во рок од 36 часа доставува анализа со видео прикажување на поместувањето на забите.

2. По потврдата за изработка на алајнери, фолиите ќе бидат изработени во рок од 5 дена.

Лесно и Едноставно

1. Добивате 3D Скенер

Првиот чекор е едноставен, набавете го нашиот високо прецизен интраорален 3Д скенер со 50% попуст!

2. Скенирајте ги Вашите Пациенти

Скенирајте ги забите на вашите пациенти користејќи најнова технологија, брзо и прецизно.

3. Ни Испраќате Скенови

Едноставно, испратете ги дигиталните скенови до нашите стручни ортодонти кои ќе го изработат терапевтскиот план за алајнерите.

4. Изработка и Достава На Алајнерите

Откако нашите ортодонти ќе го изработат терапевтскиот план, ние ќе ги произведеме алајнерите и ќе ви ги испратиме назад, заедно со детални упатства за тоа како пациентите треба да ги носат алајнерите.

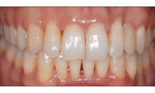
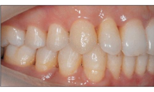
Трансформирана Насмевка 

Пред и После Алајнери

Видливи промени, трајни резултати!

ДЕНТА алајнерите прецизно ги исправуваат забите, обезбедувајќи им на вашите пациенти совршена насмевка без непријатностите од традиционалните протези.

За Нас

Иновативна Технологија во Служба на Вашиот Успех!

Дента претставува водечко решение во областа на проѕирни забни алајнери на пазарот во Македонија и регионот. Нашите производи ги комбинираат најновите достигнувања од ортодонтската наука со софистицирана технологија, овозможувајќи им на стоматолошките ординации да им понудат на своите пациенти најсовремени третмани.

Нашата мисија е едноставна, да им овозможиме на стоматолошките ординации да го прошират својот спектар на услуги и да го зголемат задоволството на пациентите преку безболни, естетски прифатливи и клинички ефикасни ортодонтски решенија.

Квалитет

Премиум материјали и напредна технологија на изработка кои обезбедуваат врвни резултати.

Поддршка

Стручен тим достапен за консултации и помош во текот на целиот процес.

Растете со Дента!

Зошто Алајнери Наместо Фиксни Протези?

Алајнери (Невидливи Протези)

Алајнерите претставуваат современа алтернатива на традиционалните фиксни метални протези. Благодарение на нивната речиси невидлива естетика и удобноста што ја нудат, стануваат сè попопуларни кај пациенти од сите возрасти.

Што Се Алајнери?

Алајнерите се проѕирни навлаки/фолии изработени од цврста, но флексибилна пластика, кои се создаваат врз основа на индивидуален отпечаток од забите на секој пациент.

Тие се дизајнирани да се прилагодат совршено на забите, обезбедувајќи удобност и дискретност при носење.

Предности на Алајнерите

Естетика: Една од најголемите предности на алајнерите е нивната незабележливост. Бидејќи се проѕирни, тешко е да се забележат на забите, што ги прави идеален избор за пациенти кои сакаат дискретен ортодонтски третман.

 Удобност: За разлика од традиционалните метални апарати, алајнерите немаат остри рабови ниту жици кои можат да ја иритираат усната шуплина.

Хигиена: Алајнерите лесно се отстрануваат при јадење, пиење, пред миење заби и користење конец за заби, што го олеснува одржувањето на оралната хигиена за време на ортодонтската терапија.

Предвидливост: Со користење на современ софтвер, стоматологот може да ја симулира и планира движечката на забите во текот на целата терапија, овозможувајќи им на пациентите да го видат очекуваниот краен резултат пред почетокот на третманот.

Кога Да Препорачате Алајнери?

Стручен водич за избор на соодветен третман

Сложеност на Ортодонтскиот Проблем

Благи до умерени случаеви на:

✓ Збиени Заби

✓ Раздвоени Заби

✓ Обратен Загриз

✓ Вкрстен загриз

✓ Отворен Загриз

Комплексни Ортодонтски Случаеви

Контакт

070224249

Copyright © Denta – Powered by BlumBrand